
- Patient Info
- Insurance & Financing
- …
- Patient Info
- Insurance & Financing


David M. Glasscock, DDS
- Patient Info
- Insurance & Financing
- …
- Patient Info
- Insurance & Financing
- Patient Info
- Insurance & Financing
- …
- Patient Info
- Insurance & Financing


David M. Glasscock, DDS
- Patient Info
- Insurance & Financing
- …
- Patient Info
- Insurance & Financing

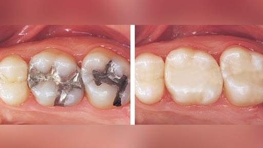
Dental Composite Fillings

A dental filling is a restorative procedure that repairs teeth damaged by decay. In some cases, enamel loss can cause a tooth to become sensitive and dental filling material is needed to fix the tooth.

Composite fillings are an obvious improvement over unsightly silver amalgam fillings. With the advancements in dental technology, composite fillings are a safe and attractive solution for many dental problems.
They look more aesthetically pleasing since they match your natural tooth color and appearance.
They require less drilling, so not as much tooth structure needs to be removed.
They harden in seconds instead of hours like other materials.
They bond to the tooth giving it greater strength, which helps prevent breaks.
They can be repaired if damaged.
They are mercury free.
© David M Glasscock, DDS. With technical assistance from CLT Geek.


