
- Patient Info
- Insurance & Financing
- …
- Patient Info
- Insurance & Financing


David M. Glasscock, DDS
- Patient Info
- Insurance & Financing
- …
- Patient Info
- Insurance & Financing
- Patient Info
- Insurance & Financing
- …
- Patient Info
- Insurance & Financing


David M. Glasscock, DDS
- Patient Info
- Insurance & Financing
- …
- Patient Info
- Insurance & Financing

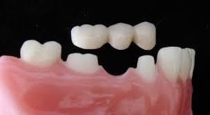
Dental Porcelain Bridges
In instances where teeth are missing, replacing absent teeth can help maintain the functionality of your bite and restore the natural beauty of your smile.
A bridge consists of dental crowns on the remaining natural teeth, with a false tooth attached/bridged in between them. This single unit prosthesis is cemented onto the adjacent teeth on each side of the missing tooth, filling the space.
Advantages of fixed bridges:
Replaces your missing teeth.
Restores the function of your teeth like chewing and speaking properly.
Prevents your remaining teeth from shifting which causes problems in your bite.
Reduces the risk of bone loss thus maintaining the structures of your face.
Bridges are permanently fixed thus preventing it from moving like dentures.

Leaving empty spaces can cause additional issues:
Tooth Decay
Shifting Teeth
Facial Sagging
Speech Problems
Difficulty Chewing
Difficulty Biting
Bone Loss
© David M Glasscock, DDS. With technical assistance from CLT Geek.

